Síndrome de Müller-Weiss: Compreendendo uma Condição Complexa do Pé
A síndrome de Müller-Weiss é uma condição ortopédica complexa que afeta o osso navicular do pé, caracterizada por uma deformidade progressiva e colapso deste importante osso do mediopé. Esta condição, também conhecida como osteocondrose do navicular em adultos, pode causar dor significativa e limitação funcional.
Descrita inicialmente pelos médicos Müller e Weiss na década de 1920, esta condição afeta predominantemente mulheres de meia-idade e pode ser bilateral em aproximadamente 20% dos casos. O diagnóstico precoce e o tratamento adequado são essenciais para preservar a função do pé e melhorar a qualidade de vida.
O Que é a Síndrome de Müller-Weiss?
A síndrome de Müller-Weiss é caracterizada por uma necrose avascular idiopática do osso navicular tarsal em adultos, resultando em alterações estruturais progressivas. Diferente da doença de Köhler, que afeta crianças, esta condição ocorre em adultos sem história prévia de problemas no pé.
Prevalência
Condição rara, mais comum em mulheres (5:1)
Idade Típica
40-60 anos, rara antes dos 30
Localização
Osso navicular do mediopé
Anatomia do Pé e o Osso Navicular
O navicular é uma peça chave no arco medial do pé
Atua como ponto de articulação para vários ossos
Suporta forças significativas durante a marcha
Tem suprimento sanguíneo vulnerável
O osso navicular possui uma vascularização precária que o torna suscetível a problemas de perfusão sanguínea. Na síndrome de Müller-Weiss, ocorre uma necrose avascular progressiva que leva ao colapso estrutural do osso, resultando em alterações biomecânicas significativas no pé.
Causas e Fatores de Risco
A etiologia exata da síndrome de Müller-Weiss permanece incompletamente compreendida, mas acredita-se que envolva múltiplos fatores, incluindo vulnerabilidade vascular, fatores mecânicos e possíveis componentes genéticos.
Fatores de Risco Identificados
| Categoria | Fatores Específicos | Mecanismo Proposto |
|---|---|---|
| Mecânicos | Obesidade, pé plano, profissões em pé | Aumento do estresse no navicular |
| Vasculares | Vascularização precária do navicular | Necrose avascular por insuficiência sanguínea |
| Hormonais | Menopausa, alterações hormonais | Efeito na microcirculação óssea |
| Traumáticos | Traumatismos agudos ou repetitivos | Comprometimento vascular traumático |
| Sistêmicos | Corticosteroides, alcoolismo | Necrose avascular por fatores sistêmicos |
A teoria mais aceita sugere que a síndrome resulta de uma combinação de fatores que levam à interrupção do suprimento sanguíneo para o osso navicular. A compressão mecânica crônica, associada à vascularização naturalmente precária desta estrutura, cria condições ideais para o desenvolvimento de necrose avascular.
Sintomas e Diagnóstico
O quadro clínico da síndrome de Müller-Weiss é caracterizado por sintomas insidiosos que progridem gradualmente ao longo de meses ou anos. O reconhecimento precoce é fundamental para instituir tratamento adequado e prevenir complicações.
Sintomas Característicos da Síndrome
Dor no Mediope
Dor crônica no dorso medial do pé, pior ao apoio
Deformidade Progressiva
Colapso do arco medial e protrusão óssea
Marcha Alterada
Dificuldade para caminhar e apoio doloroso
Evolução Insidiosa
Sintomas progridem gradualmente ao longo do tempo
| Estágio | Sintomas | Achados Radiológicos |
|---|---|---|
| Inicial | Dor leve intermitente, fadiga no pé | Esclerose subcondral leve, preservação do espaço articular |
| Intermediário | Dor moderada constante, dificuldade para calçar sapatos | Fragmentação óssea, colapso parcial |
| Avançado | Dor intensa, deformidade visível, marcha antálgica | Colapso completo, artrose secundária |
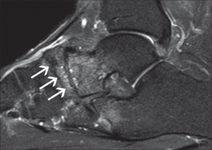
O diagnóstico é baseado na combinação de achados clínicos e de imagem. A radiografia simples geralmente mostra esclerose, fragmentação e colapso do osso navicular. A ressonância magnética é o exame mais sensível, demonstrando alterações precoces da necrose avascular antes das alterações radiográficas evidentes.
Tratamentos Não Cirúrgicos
O manejo conservador é a primeira linha de tratamento para a síndrome de Müller-Weiss, especialmente nos estágios iniciais e intermediários. As abordagens não cirúrgicas visam aliviar a dor, melhorar a função e retardar a progressão da doença.
Checklist de Manejo Conservador
- ✅ Modificação de atividades para reduzir carga no pé
- ✅ Uso de calçados adequados com bom suporte do arco
- ✅ Órteses personalizadas para redistribuição de pressão
- ✅ Controle de peso para reduzir estresse mecânico
- ✅ Fisioterapia para fortalecimento muscular
- ✅ Medicamentos para controle da dor e inflamação
Manejo Farmacológico
O tratamento medicamentoso tem como objetivo controlar a dor e reduzir a inflamação associada à condição. A abordagem é escalonada, começando com medicamentos de primeira linha e progredindo conforme a necessidade.
Opções de Medicamentos para Controle de Sintomas
Analgésicos Simples
Paracetamol, Dipirona
Para dor leve a moderada, primeira linha
AINEs
Ibuprofeno, Naproxeno, Celecoxibe
Controlam dor e inflamação, uso limitado no tempo
Suplementos
Vitamina D, Cálcio
Suporte à saúde óssea geral
Órteses e Modificações
As órteses e modificações do calçado são componentes essenciais do tratamento conservador. Elas visam redistribuir as pressões no pé, fornecer suporte ao arco medial e reduzir o estresse sobre o osso navicular afetado.
Abordagens Ortopédicas Conservadoras
Órteses moldadas que suportam o arco medial e redistribuem pressão.
Sapatos com sola rígida que limitam a flexão do mediopé.
Reduz a tensão na fascia plantar e no arco medial.
Dispositivos que transferem carga do navicular para outras áreas.
Terapias Físicas e Modificações
Programas de exercícios específicos e modificações de atividades podem ajudar a manter a função, reduzir a dor e prevenir a progressão da deformidade. Estas intervenções são individualizadas conforme o estágio da doença e as limitações funcionais.
Intervenções de Reabilitação
Exercícios Aquáticos
Atividades na água para manter condicionamento sem impacto
Ciclismo
Exercício cardiovascular de baixo impacto
Alongamentos
Mantém flexibilidade da panturrilha e fascia plantar
Controle de Peso
Redução de carga mecânica sobre o pé afetado
Infiltrações Terapêuticas
As infiltrações com corticosteroides podem ser consideradas em casos selecionados para controle de sintomas inflamatórios agudos. No entanto, seu uso deve ser cauteloso devido ao risco potencial de acelerar a necrose óssea.
Considerações sobre Infiltrações
Indicações
- Sinovite dolorosa refratária
- Episódios inflamatórios agudos
- Preparo para reabilitação intensiva
Precauções
- Uso limitado (máximo 2-3 por ano)
- Evitar em casos de colapso avançado
- Monitorização radiológica após procedimento
Prognóstico e Avaliação
O prognóstico da síndrome de Müller-Weiss varia significativamente conforme o estágio de diagnóstico e a adesão ao tratamento. A progressão natural da doença geralmente é lenta, permitindo intervenções que podem preservar a função por muitos anos.
O acompanhamento regular com exames de imagem seriados é importante para monitorar a progressão da doença e ajustar o plano terapêutico. A ressonância magnética é particularmente útil para avaliar a viabilidade óssea residual e guiar decisões sobre a intensidade do tratamento.
Fatores que Influenciam o Prognóstico
Estágio no Diagnóstico
Diagnóstico precoce correlaciona com melhor resultado
Controle de Peso
Pacientes com IMC adequado têm melhor evolução
Adesão ao Tratamento
Uso consistente de órteses e modificações
Condição Muscular
Força e flexibilidade da musculatura do pé e tornozelo
Perguntas Frequentes sobre Síndrome de Müller-Weiss
A síndrome de Müller-Weiss tem cura?
Quais exercícios devo evitar com esta condição?
A síndrome de Müller-Weiss é hereditária?
Quanto tempo leva para a doença progredir?
Posso usar salto alto com síndrome de Müller-Weiss?
Qual a diferença entre Müller-Weiss e doença de Köhler?
A perda de peso ajuda no tratamento?
Quanto tempo devo usar as órteses?
A síndrome pode afetar ambos os pés?
Quais são os critérios para cirurgia?
Verificador de Sintomas no Pé
Esta ferramenta ajuda a identificar possíveis sintomas relacionados a problemas no mediopé. Não substitui diagnóstico médico – consulte um ortopedista para avaliação adequada.
Fatores de Risco
Diário de Dor e Atividades do Pé
Registre sua dor e atividades para identificar padrões e gatilhos. Esta informação é valiosa para sua consulta médica.
Guia de Calçados e Órteses para Problemas no Mediope
Encontre recomendações personalizadas para calçados e órteses baseadas em suas necessidades específicas.
CALÇADOS DIÁRIOS
ATIVIDADE FÍSICA
ÓRTESES E SUPORTES
💡 Dica Profissional
Sempre experimente calçados no final do dia, quando os pés estão naturalmente mais inchados. Caminhe pela loja para testar o conforto antes de comprar.
















































